项目大全
牙齿种植
牙齿正畸
牙齿修复
牙齿美白
口内治疗
儿童齿科
综合齿科
牙齿种植
单颗缺失
多颗缺失
半口缺失
全口缺失
外伤缺牙
门牙缺牙
牙齿正畸
牙齿不齐
前牙不齐
牙列拥挤
牙间隙
牙错位
地包天
牙齿修复
缺失牙
牙体过小
外伤牙齿
残留牙根
牙体缺损
龋齿
牙齿美白
茶渍牙
烟渍牙
牙结石
牙菌斑
氟斑牙
色素牙
口内治疗
牙齿疼痛
牙龈出血
口腔溃疡
根尖周炎
牙周炎
牙髓炎
儿童齿科
小儿正畸
窝沟封闭
乳牙滞留
儿童蛀牙
儿童地包天
活动矫治
综合齿科
牙齿种植
牙齿正畸
牙齿修复
牙齿美白
口内治疗
儿童齿科
首页
关于杭牙
医师团队
杭牙分院
杭牙公益
来院路线
爱牙特惠
预约挂号
开设温馨夜诊服务,让您工作看病两不误。
您的当前位置:
杭州牙科医院
>
杭牙
>
案例中心
>
首页
>案例中心
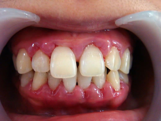
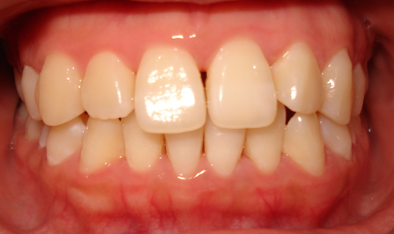
深刮前后对比
门诊时间:8:30-17:30
点击电话咨询
温馨提示:
由于篇幅原因,很多内容不能详尽,如果您或者您的家人需要问题咨询,
可点击此处
进行免费沟通
深刮前
关于
深度洗牙
(深刮):如果你超过一年或者从来没有洗过牙,那么简单的洗牙就不能解决问题,因为牙石会长在牙龈下,牙周袋里。简单的洗牙只能去除表面的牙石,但不能达到完全清洁牙齿的效果。还有如果牙周袋深度超过3mm,也需要深刮(深度洗牙)。
一般进行深度洗牙是分两次进行。先做一侧,这样可以不太影响吃东西。因为深刮时有炎症的牙周组织会出血,需要1~2天恢复。深刮后的牙齿只要正确刷牙,用牙线,定期进行常规洗牙。牙周组织就多会健康正常。也就不用再次进行深度洗牙了。牙齿也不会出血了。
当患者需要进行冠,桥修复时,建议要先洗牙,如果有必要一定要进行深刮,等牙周情况稳定,得到控制后再开始进行修复,否则对不起那么大的投资。
拨打电话
立即咨询
热点咨询
— Tags —
种植牙多少钱一颗
牙齿美容
牙龈出血
隐形矫正效果好吗
地包天怎么矫正好
种植牙好吗
烤瓷牙好吗
单颗牙齿缺失怎么办
杭州牙科口腔专家
— Hangzhou dental dental expert —
点击咨询
预约挂号
点击咨询
预约挂号
点击咨询
预约挂号
点击咨询
预约挂号
点击咨询
预约挂号
点击咨询
预约挂号
点击咨询
预约挂号
点击咨询
预约挂号
点击咨询
预约挂号
点击咨询
预约挂号
快速预约挂号
本网站已加密,绝对保证您的隐私安全,就诊前
通过手机预约可免排队等候!
姓名:
电话:
病情描述:
立即咨询