生活有一百种可能,只要不放弃,永远都有机会,虽然不见得会必然成功,却比虚度时光要美好太多。人到了一定年纪,就会容易产生一种心有余而力不足的状况,但只要怀揣着梦想,总有一天也能成功。种植牙,成就中老年的美食梦,让美食变得不再遥不可及。
周大妈,一直有着一个歌唱家的梦想,平时最爱到街道里的老年人中心唱曲儿,可自从门牙掉落之后便不再轻易张嘴,只一个人闷闷不乐。周大妈的儿子小刘看到了,知道母亲的不开心,看到报纸上介绍的种植牙技术,便带着周大妈到医院咨询了。听完医生介绍,小刘决定给周大妈做种植牙。经过一个小小的种植手术之后,周大妈又恢复了一口美观的牙齿,听小刘讲,周大妈最近又爱上了唱曲儿,精神状况也好多了。
种植牙,就是通过手术的方式,在缺牙处植入种植体(即人工牙根),等到种植体与牙槽骨骨性结合之后再套上人造牙齿。种植牙和天然牙一样由多个部分组成,但天然牙的各个部分是有机地结合在一起,而种植牙是靠螺丝或粘接剂连接,种植牙不涉及邻牙,更不会损伤邻牙,它就像真牙一样扎根在患者的口腔里。
种植牙一般会比传统镶牙更为牢固。种植牙和天然牙的生物力学原理相同,天然牙把口腔内的咀嚼压力通过牙根传递到牙槽骨,种植牙把咀嚼压力通过人工牙根(种植体)传递至牙槽骨,所以种植牙能承受强大的力量,咀嚼效率比传统假牙有大幅度提高。
周大妈对种植牙也赞不绝口,他说自从种上了种植牙就再也不用担心假牙掉出来了,牢牢的,没有异物感,吃东西来也有质感,种植牙真的不错!

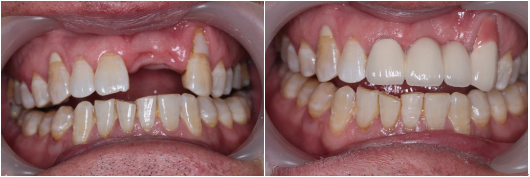
周大妈种植牙前后对比图
杭州牙科医院的种植体系 快速恢复牙齿缺失
杭州牙科医院医生针对种植牙的术前、术中、术后的每一个环节进行了细化分解,并逐一展开专项课题研究。种植牙技术包括了术前、术中、术后的一系列流程的种植牙体系。种植牙并不是仅仅将人工牙根植入牙槽骨这么一个单一的过程,而是需要从术前的全景数字化口腔检查、口腔环境预评、牙槽骨条件测量、三维模拟种植、血象常规检查、形成专属种植方案,到术中的3D导向模板、无痛麻醉、精准定点定位、万级层流手术环境,再到术后的咬合功能重建、义齿模型提取、美学修复,日常维护,以及最后的个人种植档案和为期两年的术后追踪。全方位的涵盖了种植牙的所有环节。
本网站已加密,绝对保证您的隐私安全,就诊前
通过手机预约可免排队等候!