项目大全
牙齿种植
牙齿正畸
牙齿修复
牙齿美白
口内治疗
儿童齿科
综合齿科
牙齿种植
单颗缺失
多颗缺失
半口缺失
全口缺失
外伤缺牙
门牙缺牙
牙齿正畸
牙齿不齐
前牙不齐
牙列拥挤
牙间隙
牙错位
地包天
牙齿修复
缺失牙
牙体过小
外伤牙齿
残留牙根
牙体缺损
龋齿
牙齿美白
茶渍牙
烟渍牙
牙结石
牙菌斑
氟斑牙
色素牙
口内治疗
牙齿疼痛
牙龈出血
口腔溃疡
根尖周炎
牙周炎
牙髓炎
儿童齿科
小儿正畸
窝沟封闭
乳牙滞留
儿童蛀牙
儿童地包天
活动矫治
综合齿科
牙齿种植
牙齿正畸
牙齿修复
牙齿美白
口内治疗
儿童齿科
首页
关于杭牙
医师团队
杭牙分院
杭牙公益
来院路线
爱牙特惠
预约挂号
开设温馨夜诊服务,让您工作看病两不误。
您的当前位置:
杭州牙科医院
>
杭牙
>
案例中心
>
首页
>案例中心
种植牙手术的成功案例分析
门诊时间:8:30-17:30
点击电话咨询
温馨提示:
由于篇幅原因,很多内容不能详尽,如果您或者您的家人需要问题咨询,
可点击此处
进行免费沟通
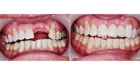
种植牙手术的成功案例分析
目前种植牙齿技术可以把原本缺失的牙齿变得整齐美白,有效的解决了大家的困扰得到了大量的喜爱。但是,有一些人对种植牙并不熟悉,所以对种植牙手术存在一定的担心,现在我们就从一例种植牙手术成功案例看看其优势所在。
今年29岁的小王,正准备结婚,2年前补的一颗门牙下岗了,因为最近要去拍结婚照,需要重新补牙,为了避免日后的反复补牙的烦恼,通过了解小夏选择了种植牙,种植牙无论是美观度、舒适度还是功能都如同真牙一般。它与天然牙结构完全一样,也是将咬合力垂直传导至颌骨,比常规的固定牙桥力量更大,同时保持对牙槽骨的生理性刺激,避免长期缺牙后牙骨的萎缩和吸收。一小时就能让缺失的牙齿恢复的跟真牙一样。于是就在准老公的陪同下前来诊治。
种植牙手术的成功案例分析
因为已经提前在网上预约了医生,所以到院后无须等待,就开始了治疗,治疗真的非常简单。无需过长的诊疗时间,能够做到即拔即种,即种即结,即刻负重。最大限度地缩短了种植修复的疗程,减少了二次手术的痛苦。没有任何痛感,短期内即可“种”出一口美牙。看着整齐如一的牙齿,小王笑得特别开心,“选择种植牙真是选对了,以后再也不担心这颗牙齿突然下岗了”
做种植牙需要做几次手术?
进行种植牙时,医生首先会对患者进行检查,经过充分的诊断后,确定患者适合做种植牙后然后确定治疗措施,种植牙一般只需要两次手术就能完成,种植桥架及假牙制作约需10-14天完成,试戴成功后即可佩戴种植假牙。此外,种植假牙修复后,第一年要在3个月、6个月时复查一次,以后最好每年都到专科医院复查。种植牙手术一般整个过程需要分两个步骤:
第一次种植牙手术是在局部麻醉下,在缺牙部位牙床上做个小切口,用专用的“种植机”在牙槽骨制备孔洞,将种植体植入缺牙部位的牙槽骨内。手术后7天拆线,拆线后等待二期手术。
第二次种植牙手术在4-6个月,也就是种植体与颌骨形成骨结合后进行(上颌需6个月以上、下颌需4个月以上),手术在局麻下用特制的器械在植入种植体的相对应的牙龈上切一个小口,暴露种植体上端后再安装牙龈基桩。二期手术后7-10天即可修复取模,制作种植桥架及假牙。
种植牙选用哪种材料最好?
现在用于种植牙制做的材料很多,如黄金、宝石、铅、铁、铱、铂、银等,也有瓷、橡胶、象牙等。随着工业的发展,出现了高强度和抗腐蚀性良好的金属材料,如钴铬合金、钛、钽等。70年代后出现生物陶瓷、羟基磷灰石、生物活性碳。80年代开始应用羟基磷灰石等生物活性材料制做种植体。 目前,常用的种植体材料主要是钛,涂层也以钛或钴合金为基材。钴的理化性质以质轻、不锈和高强度加工性能好著称。
钴的耐磨性好,耐腐蚀性好,主要是表面形成氧化膜,被氧化性常温下稳定,空气中加温到800度以上氧化激烈;具有半导体性;弹性模量低,与骨相近,能产生共振;生物相容性好,无毒无副作用,无磁性,无刺激,在体内稳定;湿润性好,不易附着有机物,具有良好的应用前景。
拨打电话
立即咨询
热点咨询
— Tags —
种植牙多少钱一颗
牙齿美容
牙龈出血
隐形矫正效果好吗
地包天怎么矫正好
种植牙好吗
烤瓷牙好吗
单颗牙齿缺失怎么办
杭州牙科口腔专家
— Hangzhou dental dental expert —
点击咨询
预约挂号
点击咨询
预约挂号
点击咨询
预约挂号
点击咨询
预约挂号
点击咨询
预约挂号
点击咨询
预约挂号
点击咨询
预约挂号
点击咨询
预约挂号
点击咨询
预约挂号
点击咨询
预约挂号
快速预约挂号
本网站已加密,绝对保证您的隐私安全,就诊前
通过手机预约可免排队等候!
姓名:
电话:
病情描述:
立即咨询