项目大全
牙齿种植
牙齿正畸
牙齿修复
牙齿美白
口内治疗
儿童齿科
综合齿科
牙齿种植
单颗缺失
多颗缺失
半口缺失
全口缺失
外伤缺牙
门牙缺牙
牙齿正畸
牙齿不齐
前牙不齐
牙列拥挤
牙间隙
牙错位
地包天
牙齿修复
缺失牙
牙体过小
外伤牙齿
残留牙根
牙体缺损
龋齿
牙齿美白
茶渍牙
烟渍牙
牙结石
牙菌斑
氟斑牙
色素牙
口内治疗
牙齿疼痛
牙龈出血
口腔溃疡
根尖周炎
牙周炎
牙髓炎
儿童齿科
小儿正畸
窝沟封闭
乳牙滞留
儿童蛀牙
儿童地包天
活动矫治
综合齿科
牙齿种植
牙齿正畸
牙齿修复
牙齿美白
口内治疗
儿童齿科
首页
关于杭牙
医师团队
杭牙分院
杭牙公益
来院路线
爱牙特惠
预约挂号
开设温馨夜诊服务,让您工作看病两不误。
您的当前位置:
杭州牙科医院
>
杭牙
>
案例中心
>
首页
>案例中心
正畸的最佳年龄
门诊时间:8:30-17:30
点击电话咨询
温馨提示:
由于篇幅原因,很多内容不能详尽,如果您或者您的家人需要问题咨询,
可点击此处
进行免费沟通
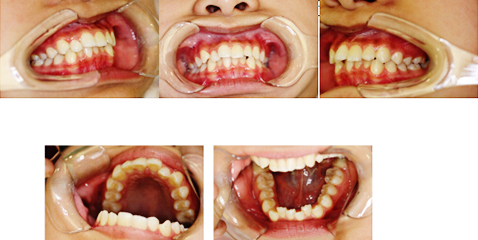
正畸的最佳年龄
正畸治疗还要把握时机,有一些牙颌畸形如“地包天”、咬唇、吮指等不良习惯引起的畸形,要在三到五岁就进行治疗,越早治疗越好。一般的牙颌畸形在恒牙已经开始萌出时,也就是八到十岁时侯到正畸医生处做咨询、检查以便决定。青春快速生长发育期(一般女孩11~13岁,男孩12~14)时,牙齿替换完毕,颌骨仍有发育潜力,此时是进行固定矫治的最佳时期,绝大多数错颌畸形均可在此时解决。矫正之前医生会进行详细的口腔检查,拍X光,取分析模型,进行全面的综合分析,再得出正确的诊断和治疗计划,一般需要治疗一至两年,然后转入保持期。一些严重的骨性错颌,矫正后可能达不到理想的效果或因异常的生长型导致复发,需在成年后进行正颌外科手术矫正。
这里要提醒家长的是正畸不能盲目,并不是所有的牙齿不整齐或者牙颌畸形都需要矫治。这里我们需要理解一个医学概念“个别正常颌”,也就是说如果您孩子的牙齿有些畸形或者是不整齐,但是不影响牙齿正常功能的话,那么这种情况下您孩子的牙齿不一定需要矫正的。
根据矫治器的不同,儿童正畸的常规方法可以分以下几类:
1、活动矫治器
对于处于乳牙和替牙期的爱美者,这是最佳的牙齿矫正的方法,比较简单。也可用来配合固定矫治器进行矫治,爱美者可以自己摘戴,比较方便。
2、固定轿治器
这是主要用于替牙期或者刚刚换好牙,身体还处在生长发育高峰的儿童。这是最为常用的矫治器,却不能自由摘戴。
3、功能轿治器
主要用于替牙期或者刚刚换完牙还处于生长发育高峰期的儿童,利用功能矫治器可以矫正骨性错和畸形。
无托槽隐形矫治器
很多爱美者因为工作等原因,对形象要求较高,所以最适合采用无托槽隐形矫治器,爱美者可以自行摘戴。不过,这种方式只适合轻度的牙列拥挤和个别牙的扭转。
值得提醒的是,矫治的作用力由矫治器提供,患者认真戴用才能使其发挥作用,尤其是对戴活动矫治器的患者。医患的配合直接决定了其疗程的长短和治疗的最终效果。
拨打电话
立即咨询
热点咨询
— Tags —
种植牙多少钱一颗
牙齿美容
牙龈出血
隐形矫正效果好吗
地包天怎么矫正好
种植牙好吗
烤瓷牙好吗
单颗牙齿缺失怎么办
杭州牙科口腔专家
— Hangzhou dental dental expert —
点击咨询
预约挂号
点击咨询
预约挂号
点击咨询
预约挂号
点击咨询
预约挂号
点击咨询
预约挂号
点击咨询
预约挂号
点击咨询
预约挂号
点击咨询
预约挂号
点击咨询
预约挂号
点击咨询
预约挂号
快速预约挂号
本网站已加密,绝对保证您的隐私安全,就诊前
通过手机预约可免排队等候!
姓名:
电话:
病情描述:
立即咨询