牙齿美白是指将化学氧化性漂白药物放在牙齿表面或内部,与牙齿发生化学反应使牙齿本身的颜色变白,或用物体粘附在牙齿表面遮盖牙齿本色,使牙齿颜色变白的过程。杭州牙科医院专家称,牙齿的着色主要分为外源性着色和内源性着色,专业的牙科医生会采用不同的方法来处理。
杭州牙科医院美白攻略 对症解决不同牙齿问题
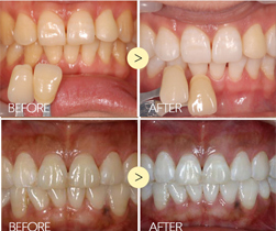
一、黄牙 色素牙——冷光美白技术案例

冷光美白优势
1、高效小分子,避免划痕:美白因子快速穿过牙釉质和牙本质渗透到牙齿的所有部分。
2、分解干净,健康无残留:封闭牙本质小管,美白因子分解,促使牙釉质新生而对牙齿保护。
3、舒适轻松,轻松美白有效改善:传统皓齿美白带来的牙齿敏感和疼痛,美白 5-14 个色阶。
冷光美白牙齿多少钱?点击咨询医生
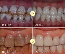
二、轻度四环素牙——贴面美白案例

贴面美白优势
1、特殊工艺,超薄贴面:以健康材料致密烧结制作而成,厚度超薄。
2、健康美齿:可根据牙齿形态度身定制方案,不伤牙、不麻醉,将美齿风险降到低。
3、效果持久,长期美白:微操作,精致牢固,格莱美牙齿美白效果持久。
贴面美白牙齿多少钱?点击咨询医生
三、重度四环素牙 黑牙——美容冠美白案例

美容冠美白优势
1、不伤牙髓:根据牙槽骨的形态精细修整,保障精细操作,不伤害牙髓,健康美白牙齿。
2、长久美白:健康材料,饰面溶解度远低于要求标准,不退色,长久美白牙齿。
3、形态美观:根据牙体厚度宽度以及牙冠牙根比例调整,达到黄金比例,色泽自然靓白。
美容冠美白牙齿多少钱?点击咨询医生
【杭州牙科医院 作为专业的口腔科医院理由--名医汇聚】
杭州牙科医院拥有强大的医生资源,汇聚了国内外知名医生、资深教授、学科带头人等一大批优秀医疗精英!临床经验丰富、技术精湛、始终把国际化科学的、先进的医疗理念灵活的运用到临床实践当中。与国际知名医学医生进行新医疗技术交流,汲取医学界新的前沿技术,不断的创新与突破,把医疗推向国际专业化、现代潮流化!
【杭州牙科医院 作为专业的口腔科医院理由 个性化的服务】
杭州牙科医院汇聚了数十位有丰富临床实践经验的知名医生,可由患者指定专科医生负责自己的牙齿种植,医院采用流行的“一人一医一诊室”人性化设置,不但保护了患者的隐私,更有利于医患之间的充分交流,医生可根据病人不同就医需求制定个性化的诊疗方案,受广大患者的欢迎。
温馨提示:如果您还有不明白的地方,可以点击“在线咨询”按钮或拔打热线电话400-1580-520免费咨询。
本网站已加密,绝对保证您的隐私安全,就诊前
通过手机预约可免排队等候!