美容冠作为全新的牙齿修复技术,从引进中国以来,一直广受人们的喜爱,它能快速有效的帮助我们实现拥有一口健康美观牙齿的愿望,那么,想要通过美容冠完美自己牙齿的话,选择哪家医院最好呢?
专家表示:美容冠是传统烤瓷牙发展出来的,但无论是功能修复上、还是牙齿的美观度上都是传统烤瓷牙无法比拟的,由于美容冠对医院技术和设备的要求非常高,因此,要进行美容冠修复一定要谨慎选择正规专业的口腔医院,来保证安全可靠的修复效果。
美容冠修复牙齿缺损多少钱?免费咨询医生!
小门诊 低价位“潜伏”高隐患
很多人士为了贪图一时的实惠、方便会选择一些小门诊做美容冠修复,当我们应该在“低价”的诱惑中看到“质量无保障”的实情,廉价的美容冠在带来一时效果后,便在我们口腔中“潜伏”在了一颗隐患的定时炸弹,崩瓷脱落、龈缘黑线、牙龈红肿发炎的现象屡见不鲜,这样的低价诱惑后的风险,谁愿承担?

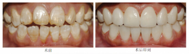
美容冠修复效果图
学会看 轻而易举选出美容冠医院
1、看医院选择:正规口腔医院的医师都具备权威口腔认证和多年的临床经验,这样才能有效的为顾客减少不必要的痛苦!
美容冠适用于那些症状?免费咨询医生!
2、看美观效果:专业权威的美容冠医院必须根据:顾客的面型、肤色、口内咬合关系、模型分析、顾客的具体要求,来为其量身定制美容冠修复方案。
3、看医生技术:美容冠需要经过专业培训的美牙专家全程设计、制作、操作,美容冠在对牙医的选择方面极为严格,牙医对美容冠的使用年限很有联系,一个专业的美牙专家所进行的美容冠技术可以质保终身。
美容冠的寿命有多少长?免费咨询医生!
4、看医院设备:美容冠技术是建立在对口腔绝对了解的情况下进行的一项牙齿整形美容技术,采用数码定位技术、德国VITA比色技等一系列先进技术,这些技术都需要相应的设备支持,如果没有一定的设备条件,美容冠便会达不到技术要求。
杭州牙科医院美容冠,2小时矫正成人难看牙
美容冠是目前欧美和日本最受欢迎的,美容冠是牙齿美容中的一种新型的技术,相对于烤瓷牙,美容冠是不伤害牙齿的一种牙齿美容修复技术。美容冠在不损伤牙齿、牙龈的前提下根据牙槽骨的形态对牙齿做修整。首先适度调整歪斜的牙齿,精细打磨凸出部位1-2毫米;然后在原牙外包以整齐洁白的美容冠,保护原牙,一口整齐亮白的牙齿,就大功告成了,且不着痕迹。
美容冠有着超高的耐压力度,完美的32个色阶对比,达到自然、漂亮、整齐的美牙效果。另外,由于“美容冠”方法不需要动及牙齿根部,大大减轻了患者的痛苦,整个治疗过程只要两小时,不戴牙套、不伤牙根,将美学与医学充分融合,达到个性化牙齿美容的效果。
有疑问点击咨询在线口腔科医生
杭州牙科医院美容冠的技术优势
杭州牙科医院创建于1975年,诞生于东北,成长与海南,根植壮大与浙江。历经40余年的风尚雨雪,至诚至信,以不懈奋斗,执着追求的开拓进取精神,在全国相继开设近20家口腔门诊和口腔专科医院。温馨舒适的诊疗环境深受专家的肯定和广大患者的好评!
点击了解更多
1.美观大方:“美容冠”牙齿美容技术采用最新数码科技,精确分析牙齿形态以及病症,结合3D数码定位系统,由专业的美容牙医制定美牙方案,形成后的牙齿美丽大方。
2.色泽逼真:采用德国VITA比色技术,根据就诊者不同的牙色,通过29个牙色层次化类比,使成形后的牙齿达到完美的色调统一,天然逼真,常年保持美丽天然的光泽。
3.安全无痛:采用无痛技术,美牙无需动及牙根,彻底解除您爱美又怕痛的顾虑。整个过程在轻松的音乐中完成。
4.牙齿坚固:“美容冠”比传统烤瓷牙更坚固,最新技术的粘贴技术,终生不脱落。据数据分析显示,经“美容冠”牙齿美白后,牙齿至少可以承受50公斤拉力。
5.高效快速:“美容冠”牙齿美容技术从检查、设计到牙齿美容,整个过程只需短短2小时,不戴牙套、不伤牙根,将美学与医学充分融合,达到个性化牙齿美容的效果。
在线询问美容冠矫正价格

量身定制模特级的黄金微笑比
“黄金微笑比”是目前国际上最流行的美学设计,它通过求美者的肤色、职业、唇色、以及牙齿比例、排列、牙弓弧度、颜色等为您打造模特级黄金微笑比例,让您的笑容更自信迷人!
本网站已加密,绝对保证您的隐私安全,就诊前
通过手机预约可免排队等候!