牙齿矫正修复的时间一般在一年到两年之间,因为有很多因素影响着牙齿矫正时间,所以这个时间因人而异。
影响牙齿矫正时间的因素主要有以下几点:
1. 牙齿矫正的年龄:相对来说,儿童是做牙齿矫正的黄金时期,儿童牙齿矫正的难度比较低,但是成年人做牙齿矫正的难度就大一些,牙齿移动的速度比儿童的慢,做牙齿矫正的时间也就会长久一些。
2. 牙齿移动的速度:有些人牙齿移动整体速度就是比较快,也可以说比较好塑形,这样的人牙齿矫正时间自然短,但是有的人塑形比较困难,牙齿矫正的时间就会长一些,所以牙齿矫正的时间跟求美者牙齿的情况有关系。
3. 矫正器的选择:不同的矫治器进行牙齿矫正的效果也是不一样的,好的矫治器当然矫正的效果就好一些,所需要的时间也会短一些,所以求美者若想缩短牙齿矫正的时间,就要选择好一点的矫治器。
有疑问点击咨询在线专家

牙齿矫正的方法有两种,如下:
1. 正畸矫正(带牙套):
成年人也是可以通过牙套矫正的方式来使牙齿恢复整齐美观的,但是要求牙齿本身的情况良好,无龋齿,无牙周病,并且要求有良好的配合,有恒心。
在线询问医生矫正牙齿价格

牙套种类 >>>点击咨询价格
成人牙齿矫正的时间根据情况的不同,需要的时间1-2年或更久,要根据个人情况而定。另外需要说明的是,成年人的牙齿钙化程度好,牙齿发育全面,而牙齿本身具有记忆功能,所以牙齿矫正后可能比较容易反弹。所以术后经常佩戴保持器也十分重要。
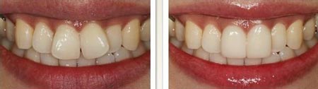
2. “美牙冠”矫正:
这是针对成年人的牙齿矫正方法,可以达到快速美牙的效果。 是从欧美引进的新型牙齿矫正和美容的方法,可以矫正牙齿,同时可以美容牙齿。这种牙齿矫正方法自引进中国以来先在明星、白领层中大大流行,进而在各大城市的工薪阶层中流行开来。

美牙冠修复前后对比
杭州牙科医院立于1975年,是集医疗、教学、科研、预防和保健为一体的综合口腔医院。杭州牙科医院作为国内口腔医疗行业的领跑者,已在全国17座一线及省会城市开设了20余家医疗机构,实现了从一家门诊到足迹遍布全国的惊艳跨越,杭州牙科医院开创了口腔界的新模式,已经成为名副其实的中国口腔行业领跑者。
点击了解详情
【杭州牙科医院 作为专业的口腔科医院理由 的技术】
杭州牙科医院作为一家国际连锁口腔专业机构,拥有普通金属托槽矫正、自锁托槽矫正、透明陶瓷托槽矫正、舌侧隐形矫正、隐形牙套矫正技术等,都是国际上的应用效果好的。
杭州牙科医院口腔领先科技,专注牙齿正畸
最适合东方人的隐形矫正技术诞生。临床运用显示,隐形矫正技术更适合中国人的咬合、面形,避免了西方矫治器矫治后牙弓形态及面型显得不能完全协调的缺陷,且较传统正畸技术,隐形矫正技术的矫治时间更短(一般可提前3个月完成正畸),复诊次数更少,且可以带来更加准确、美观、舒适的口腔正畸效果。
隐形矫正需要多少钱?点击咨询问医生

“美牙冠”采用全新科技数码定位技术、瓷睿刻齿雕系统等先进齿科技术及理念,结合脸型、肤色设计美牙方案,当天就能解决各种难看牙问题。具有美牙不拔牙、舒适苦、时间短、牙齿坚固等优点。
在线询问医生矫正牙齿价格
温馨提示:矫正技术很成熟,但仍会存在矫正的好和不好的矫正机构,所以决定矫正后,选择一家正规专业、医生经验丰富的矫正机构尤其重要。杭州牙科医院是高端口腔连锁医院,是广大美牙者的理想选择。
本网站已加密,绝对保证您的隐私安全,就诊前
通过手机预约可免排队等候!